温尼伯站

 找回密码
 注册用户
搜索
热搜: 接送 租房

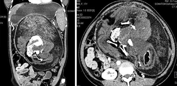
17岁妹肚子诡异隆起 医开刀惊见畸形双胞胎化成肿瘤塞子宫

查看数: 117 | 评论数: 0 | 收藏 0
关灯 | 提示:支持键盘翻页<-左 右->
    组图打开中,请稍候......
发布时间: 2019-8-17 11:50

正文摘要:

▲少女肚子异常隆起。 但随着检测越详细,医师发现这个肿瘤的「内容物」相当奇怪,因为里面有各种软组织的器官,甚至有钙质的出现像是骨头、或是脊椎,甚至还参杂着一些毛发。医学报告中提到,基本上该肿瘤为良 ...

回复



手机版|温尼伯站

JS of wanmeiff.com and vcpic.com Please keep this copyright information, respect of, thank you!JS of wanmeiff.com and vcpic.com Please keep this copyright information, respect of, thank you!

GMT-5, 2026-4-30 02:07 , Processed in 0.064749 second(s), 39 queries , Gzip On.

温尼伯站版权所有

All right reserved by Winnipeg Chinese Media.

快速回复 返回顶部 返回列表